DxRAD®
AI기반 흉부 X-ray
의료영상진단보조장치

DxRAD는 인공지능기반 흉부 X-ray 의료영상진단보조장치로서,
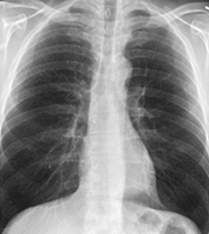
흉부 X-ray를 촬영 후 분석 및 판별 결과를 DxRAD에 저장 및 각 과에서 열람이 가능합니다.DxRAD는 정상, 비정상, 결핵이 판별가능하며, 의료기기품목 3등급에 해당합니다.전체 병원의 70%에 영상의학과 전문의가 부재 또는 부족하며 의사의 판독정확도는 활동성 51.4%, 비활동성 62.2% 일치하고 있습니다.결핵은 법정 전염병 2군에 해당 하여 진단과 동시에 격리를 해야 하며, 조기진단이 필수인 질병입니다.DR, CR, Film이 가능하기 때문에 오프라인 및 온라인에서도 사용할 수 있습니다.타겟시장으로는 보건소, 보건지소, 개인 병∙의원 등 입니다.
① Reference : Common Clinical Problems Encountered During TB Chemotherapy (결핵 및 호흡기질환, Vol. 46, No. 2, Feb, 1999), Journal of Radiation Industry 12(3) : 169~176(2018), 결핵 흉부 X-선 검사 판독 실태 조사 및 질 향상을 위한 개선 방안(11-1352159-001015-01), 질감 분석을 이용한 폐결핵의 자동 진단(#110517-001). ② 결핵 흉부X선 검사 판독 실태 조사 및 질 향상을 위한 개선방안(11-1352159-001015-01)


판독결과

결핵

비정상

정상
Next Plan

NORMAL

ABNORMAL

TB(Turberculosis)
DxRAD 설치 및 작동방법
PACS (DR,CR)
X-RAY 필름

오프라인 판독이 가능하기 때문에
이동식 검진 차량에 탑재가 가능하다